歯の中には、神経や血管が入っている小さな空洞があります。これを専門的には**歯髄腔(しずいくう)**と呼びます。
虫歯が進行してしまうと、この歯髄腔に細菌が侵入し、次のような症状を引き起こします。
何もしていなくても歯がズキズキ痛む
痛み止めが効かず、夜眠れないほどの強い痛み
一度細菌が歯髄腔に入り込むと、体の自然な抵抗力だけでは菌を減らすことができません。そのため、歯科での専門的な治療が必要になります。
この治療は一般的に「神経の治療」「根の治療」と呼ばれることが多いですが、専門的には根管治療といいます。
根管治療では、歯の中(歯髄腔)に入り込んだ細菌を徹底的に取り除き、再び繁殖しないように処置を行います。
👉 ポイント:
強い歯の痛みの原因は、神経の通る空洞に細菌が入ってしまうこと。根管治療でしっかり菌を除去することが、痛みを根本から解消する第一歩です。
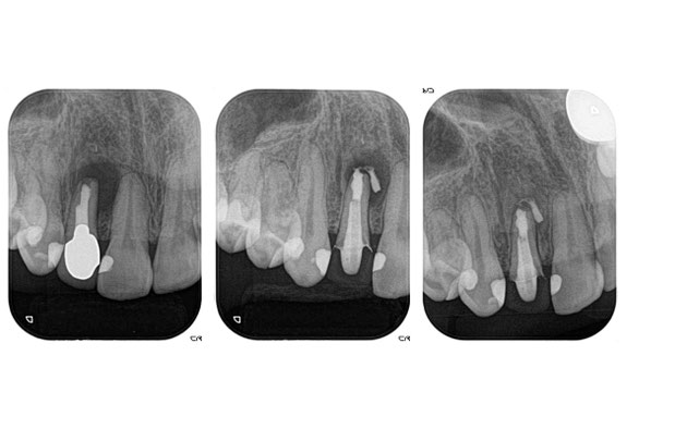
左の写真が治療前の状態です。
患者様は「できるだけ歯を抜きたくない」というご希望で来院されました。
レントゲンで根の先に黒い影が見えますが、これは炎症による像です。
中央の写真:根管治療を行った後の状態です。内部をしっかり消毒し、MTAセメントという特殊な材料で根の先を封鎖しています。
右の写真:治療から約4か月後。根の先の黒い影が小さくなり、骨が回復してきていることが確認できました。炎症が落ち着いたと考えられます。
結果として、歯を抜かずに残すことができました。
歯の根の先に炎症が広がった場合、通常の根管治療(消毒)だけでは治らないケースもあります。
それでも、
根管内をしっかり消毒して炎症を抑える方法
改善が見られない場合には、外科的に根の先の炎症部分を切除して封鎖する方法
などで、歯を残せる可能性があります。
👉 ポイント:
「根の先に炎症があっても、歯を抜かずに治せる場合があります」
当院の歯の根っこの治療は通常2回で終了します。急性症状がある場合は様子を見る場合もあります。歯の内部の洗浄が終わった段階で最終的なお薬をお詰めしております。根の治療を行う場合、根の治療で効果があるか治療前にしっかりと診断する必要があります。歯にひびが入っていたり穴が開いていたりする場合は根の治療だけを行っても炎症が引きませんので、根の治療を長期間に行っても時間の無駄となってしまいます。もし、何年にもわたる長期間に根の消毒をされている方がいらっしゃいましたら、他に原因がないか確認されてはいかがでしょうか?
当院では、根管治療の方法を選択性とさせていただいております。
特に大きな炎症がないケースでは、保険適応の根管治療を行っております。難症例や歯に穴が開いてしまっているケースでは、保険外での根管治療をおススメしております。
保険外の根管治療は、当院に木曜日のみ勤務されている根管治療の専門医が対応するか、あるいは近くで開業をしている根管治療のみを行っている専門医を紹介させていただいております。
保険適応の根管治療は数千円で治療が可能ですが、保険外の根管治療は10万円ほどの費用が掛かります。(歯の状態によって料金が変わります。治療前にカウンセリングが必要です。)
保険外の根管治療では、特殊な器具を使用することで、根管治療の成功率が上がります。通常、日本で行われている保険の根管治療の成功率は50%程ですが、保険外の根管治療では、20~40%ほど成功率が上がることが報告されております。
しっかりと治療をされたい方は、保険外の根管治療をされたほうが将来的に再治療になる可能性が低くなります。
歯茎の黒ずみの原因は歯の根っこの変色かも知れません。
歯の根っこの炎症を取り除いた後に歯茎の厚みを増すために歯茎の移植による歯茎の再生治療を行います。
差し歯の歯茎が黒く見えてしまった場合の審美歯科治療のご紹介です。

歯の根っこの神経を抜いた後、根っこの内部で細菌が増殖すると根っこの先端の部分の周囲に炎症反応がおこります。
レントゲン写真では、骨が吸収して黒い丸い像が見えるようになります。
お写真の上のほうに黒い丸い像は歯の根っこの炎症で骨が吸収してしまった像です。
しっかりと根っこの中の細菌を取り除くことで、骨の吸収が回復することが期待できます。
歯根端切除術(しこんたんせつじょじゅつ)ってご存知ですか?
虫歯が大きくなって神経の炎症が起きたり、神経が死んでしまった場合は歯の根っこの治療を行います.根っこの中を消毒して細菌が増殖しないようにする治療です.
問題は、この歯の根っこの治療は100%完全に治る事を保証する事が難しい治療だということです.細菌を全くいなくする事は不可能と言えるかもしれません.特に根っこの先に大きな骨の吸収が見られる場合、通常の根のなかの消毒だけでは骨が再生しない事もよくあります.もちろん、歯の根っこの内部が明らかに汚れてしまっている場合は劇的に治る場合もあります.
そういったケースでは、症状の経過を判断して、根っこの先端の感染している部分を含めて炎症組織を外科的に切り取る方法を使用するばあいがあります。外科的な方法になります。
この方法を歯根端切除術と言っております。
根っこの先端の炎症の原因を切り取る事で症状が改善します。これは、根っこの先端の形が複雑で通常の根の治療では解決できないためになります。
よく歯の根っこの炎症がひどいので抜いてインプラントを勧められる場合がありますが,歯根端切除術を行う事で歯を抜かなくて済む場合もあります.
また、歯にひびが入ってしまっているケースは炎症を取る事が難しい場合もあります。
歯根端切除術に関しましては下記のリンクページに詳しい内容を記載させて頂いております.クリックしてご覧ください.
外科的歯内治療のページ
拡大鏡と顕微鏡を使用した歯科治療って最近見かけるけど、私には何の得があるの?と思われている方もいらっしゃるかと思います。
簡単に言うと治療の安全性が高まるということです。
