矯正治療で歯茎が下がってしまうケースが増えてきています。


近年、マウスピース矯正や、裏側矯正など、目立たないように歯並びを改善することが可能になってきており、成人の方も矯正治療を行うことが一般的になってきています。

 

ただ、あまりに矯正人口が増えすぎてしまったために、歯茎のリスクのことをしっかりと考えて行う矯正医が足りないということが起こっています。

 

成人の方の矯正治療をする場合、歯茎が薄い方や、すでに歯茎が下がっている方は、歯茎がさらに下がってしまうという問題がどうしても起こってしまいます。

 

矯正治療前にすでに歯茎が下がってしまっている場合はそのまま矯正治療を行うとさらに歯茎が下がってしまう可能性が非常に高くなります。場合によってはかなり歯を抜く危険性が高まることもあります。


増骨矯正治療

 

 そう言った場合、矯正治療と合わせて歯の周囲の骨を作る増骨矯正法がお勧めです。

 

増骨矯正法はPAOOなどと言われている方法で、矯正期間中の骨の代謝が良くなることを利用した増骨方法です。人工の骨を骨と歯茎の間に入れておくと、徐々に人工の骨がご自身の骨に置き換わっていきます。そのため、厚みが維持されます。

 


増骨矯正法の治療例

歯茎が下がってしまった場合の増骨矯正法
歯茎が下がってしまった場合の増骨矯正法

 

 

下の前歯の歯茎が下がって、歯の長さが長くなっています。

このお写真の方の様に歯茎が下がってしまっている場合は、矯正治療を行うことで歯茎がさらに下がってしまいます。

 

当院では、こういったケースの場合増骨矯正法(PAOO)を行うことで、歯茎の下がりを逆に回復させることが可能です。

 

通常、矯正治療を行なっている病院では増骨矯正法を行っておりませんので、ご存じない方が多いのですが、歯周病治療で骨の再生治療を行なっている先生の中ではそれほど珍しい治療法ではありません。


歯茎が下がってしまった場合の増骨矯正法 
歯茎が下がってしまった場合の増骨矯正法 

 歯茎を開くと歯の根っこの周りに骨がなく、歯の根っこが骨から飛び出していました。

この様な歯を支える骨が薄いケースは非常に骨が下がりやすくなります。

骨と歯茎の間に人工の骨を入れて歯の根っこの周囲に骨ができる様にします。


歯茎が下がってしまった場合の増骨矯正法 
歯茎が下がってしまった場合の増骨矯正法 

 

歯茎の中の骨の厚みを増したことで、歯茎の位置も従来の位置に回復しています。また、歯の周囲を支える骨の厚みがあると歯茎が将来的に下がりにくいことがわかっています。


歯周病が進行している方で歯並びの悪い方は増骨矯正法が必要です。

歯周病が進行してしまうと、歯が動いてきて噛み合わせが悪くなってきます。噛み合わせが悪いと歯周病はさらに進行しやすくなります。

 

そのため、歯周病の治療をする際に矯正治療をすることがしばしばあります。

 

歯周病で歯を支える骨が少なくなってしまった方の矯正治療を行う際には増骨矯正法が必要になります。骨がない状態で矯正治療を行うとさらに骨がなくなってしまう可能性が高いためです。


歯ぐきが下がった方にお勧めの増骨矯正治療例

歯ぐきが下がってしまっている方は、矯正治療をすることでさらに歯ぐきが下がってしまいます。

こういったケースでは、増骨矯正治療を行うことで歯並びの改善と歯茎の回復を同時に行うことが可能になります。

治療後の状態。歯並びの改善と歯茎の回復ができました。


 

~増骨矯正法の注意~

 

増骨矯正法は保険外診療となります。当院では、上下片側の増骨治療が11万円(税込)かかります。また、別途術後の消毒の費用が1回5千5百円(税込み)かかります。通常4回の消毒をお勧めしております。

 

増骨治療後に1~2週間ほど腫れや痛みが出る場合があります。また、感染を起こしてしまう場合もあります。感染してしまった場合は間隔を詰めて消毒にお越しいただく場合もあります。

~矯正治療の注意~

 

ご存知の方も多いと思いますが、矯正治療は保険外診療となります。当院では、モニター料金で全体的の矯正治療を行う場合、通常料金より10万円ほどお値引きさせていただいております。料金は検査代3万3千円(税込み)と矯正費用総額¥437,800-(税込み)がかかります。

 

この料金は標準的な料金となります。白いワイヤーや、拡大装置など使用する場合は、別途料金がかかります。

 

また、終了期間はおおよその目安となります。歯の動き等によって期間に個人差があります。期間の保証するものではありません。


矯正治療の関連ページ


歯の矯正装置

目立たない装置がいろいろあります。

 

 

 

 

料金 ・キャンペーン

キャンペーンは条件があります。

矯正モニター治療はこちら

 

 

 

 

 

急速矯正

歯の移動を早くする処置をいたします。 




無料カウンセリングお問い合わせ

神田ふくしま歯科

東京都千代田区神田鍛冶町3−2−6F スターバックス上

JR神田駅北口より徒歩1分 (東京駅の隣の駅です。)

0120-25-1839

03−3251−3921


 

~増骨矯正法の注意~

 

増骨矯正法は保険外診療となります。当院では、上下片側の増骨治療が11万円(税込)かかります。また、別途術後の消毒の費用が1回5千5百円(税込み)かかります。通常4回の消毒をお勧めしております。

 

増骨治療後に1~2週間ほど腫れや痛みが出る場合があります。また、感染を起こしてしまう場合もあります。感染してしまった場合は間隔を詰めて消毒にお越しいただく場合もあります。

 

 



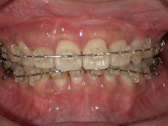
歯列矯正モニター治療 前歯が内側に入っている場合の治療例

矯正治療を始められる方は、歯周病の確認をする必要が有ります。

 

歯周病が進行してしまうと矯正治療後の予後が悪くなってしまいます。

「矯正治療で歯ぐきが下がる?」— 骨を作ってから安全に歯を動かす方法


「このまま矯正すると大丈夫ですか?」

診察室に入ってきた患者さんは、少し不安そうな表情をしていました。

「先生、私、上の歯の並びが悪くて、1本だけ内側に入っているんです。矯正で治せますか?」

鏡で歯を確認しながら話す患者さんの表情には、矯正治療に対する期待と不安が入り混じっていました。

確かに、その歯はほかの歯より内側に入り込んでいます。通常であれば、矯正治療によって歯を外側へ移動させることで並びを整えることができます。

しかし、このまま単純に矯正をすると、ある問題が発生する可能性があります。

「そのまま歯を外側に動かすと、歯ぐきが下がってしまうかもしれません」

患者さんは驚いた表情を見せました。

「えっ、矯正で歯ぐきが下がることがあるんですか?」

 

歯を外側に動かすときのリスク

歯並びを整えるために歯を動かす際、あごの骨(歯槽骨)が足りていないと、歯ぐきが後退してしまうリスクがあります。

✅ 歯ぐきが薄くなり、下がってしまう
✅ 歯の根元が露出し、知覚過敏になる
✅ 見た目が悪くなるだけでなく、歯が弱くなる

このリスクを回避するために、必要なのは 「骨を作る処置」 です。

 

骨を作ってから歯を動かす方法

「先生、それってどういうことですか?」

患者さんの疑問に答えるように、説明を続けました。

「あごの骨が足りない場合は、まず骨を作ってから歯を動かすことで、歯ぐきの下がりを防ぐことができます。」

この方法では、歯がしっかり支えられる土台(骨)を作ることで、矯正治療による歯ぐきのダメージを防ぐことができます。

「そうすれば、歯ぐきが下がる心配なく、きれいに歯を並べることができるんですね!」

患者さんはほっとした表情を見せました。

 

美しい歯並びと健康な歯ぐきを守るために

矯正治療は、ただ歯を並べるだけではなく、歯ぐきや骨の状態まで考慮しながら進めることが重要 です。

せっかく歯並びがきれいになっても、歯ぐきが下がってしまったら、見た目にも影響が出てしまいます。

そのため、矯正前の検査でしっかりと歯ぐきや骨の状態を確認し、必要があれば骨を作る処置をしてから矯正を行うことで、安心して治療を進めることができます。

「歯並びを治したいけれど、歯ぐきが下がるのが心配……」という方も、一度ご相談ください。

歯列矯正モニター
歯列矯正モニター

歯列矯正をご希望の方は、歯の移動を早くするスピード矯正法のモニターを募集しております.

スピード矯正法は歯の移動スピードを2〜3倍に早めます.

歯列矯正の料金はモニター価格とさせていただきます.

歯列矯正モニター
歯列矯正モニター

歯列矯正の装置です.従来の装置に比べて透明な装置を使用している分目立ちにくくなります。

 

お写真のように顎の骨のない方は増骨矯正法を行います。

 

歯列矯正モニターを希望される方は下記のリンクページに詳しい条件などを記載させて頂いております.クリックしてご覧ください.

 

歯列矯正モニターのページ

 

歯列矯正モニターをご希望の方はまずは無料カウンセリングを行います。ご予約をお取りください。

 

また、歯列矯正モニター治療をご希望の方は歯周病の状態によって治療開始が遅くなる場合があります.成人の方の8割が歯周病にかかっていると言う報告もございますが,問題になるのは中程度から重度の歯周病の約3割の方だと考えております.

 

歯周病治療を短期間に終わらせたいと言う方は歯周内科治療で短期間に歯周病の処置を終わらせる事もお勧めしております.歯周内科に関しましては下記のリンクページをご覧ください。

 

歯周内科のページ

 

 

 

無料カウンセリングのお問い合わせ

神田ふくしま歯科

東京都千代田区神田鍛冶町3−2−6F スターバックス上

0120−25−1839

03−3251−3921


本日のブログまとめ


上の歯並びが悪く、内側に入っている歯がある方へ

本日のお写真の方のように上の歯の並びが悪く、特に内側に入ってしまっている歯がある場合、矯正治療でその歯を外側に移動させる必要があります。

しかし、このまま矯正治療を行うと、歯茎が下がってしまうリスクが高くなります。


なぜ矯正治療で歯茎が下がるのか?

✅ 内側に入っている歯は、あごの骨の厚みが少ない場合が多い
✅ そのまま歯を外側に移動させると、歯を支える骨の量が不足し、歯茎が下がってしまう
✅ 歯茎が下がると、見た目が悪くなるだけでなく、知覚過敏や歯周病のリスクも高まる


骨を作ってから矯正治療を行うことで歯茎の下がりを防ぐ

矯正前にあごの骨を増やす治療(増骨矯正法)を行うことで、歯を外側に移動させても歯茎が下がるのを予防することができます。

  • 矯正治療前に骨を作ることで、歯をしっかり支える土台を確保できる
  • 歯を外側に移動させても、歯茎が下がらずに安定した仕上がりになる
  • 治療後の審美性が向上し、健康的な歯茎を維持できる

この方法は、特に歯並びが内側に入り込んでいる方や、歯茎が薄い方におすすめの矯正治療アプローチです。


矯正治療前のご相談をおすすめします

✅ 矯正治療で歯茎が下がるのを防ぎたい
✅ 歯茎の健康を保ちながら、歯並びを整えたい
✅ 矯正治療前に増骨矯正法について詳しく知りたい

神田ふくしま歯科では、矯正治療前の無料カウンセリングを実施中です。
患者様の歯並びや歯茎の状態を詳しく診断し、最適な治療法をご提案いたします。


無料カウンセリング・お問い合わせ

神田ふくしま歯科
東京都千代田区神田鍛冶町3-2-6F(スターバックス上)
JR神田駅北口(モンダミン口)より徒歩1分(東京駅の隣の駅です)

0120-25-1839
03-3251-3921

矯正治療での歯茎の下がりが心配な方は、ぜひ一度ご相談ください。
歯の健康と見た目の美しさを両立する治療をご提案いたします。

メモ: * は入力必須項目です


~増骨矯正治療の注意~

 

ご存知の方も多いと思いますが、矯正治療は保険外診療となります。当院では、モニター料金で全体的の矯正治療を行う場合、通常料金より10万円ほどお値引きさせていただいております。料金は検査代3万3千円(税込み)と矯正費用総額¥437,800-(税込み)がかかります。

 

この料金は標準的な料金となります。白いワイヤーや、拡大装置など使用する場合は、別途料金がかかります。

 

 

 

また、終了期間はおおよその目安となります。歯の動き等によって期間に個人差があります。期間の保証するものではありません。

 

増骨治療は保険外診療となります。お写真のケースでは7万7千円(税込み)の費用が掛かりました。

 

増骨治療は外科処置となります。骨の再生治療後に炎症を起こしたりしないよう、外科治療前にしっかりと歯茎の炎症を取ることが必要になります。それから、外科処置後に腫れや痛みが出る可能性があります。

 

 

また、骨の再生治療に人工骨や歯周組織再生材を使用する場合、厚生省の認可の取れているものが複数あります。用途に合わせて選択されるとよいでしょう。

 

No92 ブラックトライアングルでお悩みだった方が、歯ぐきの再生治療で笑顔を取り戻したお話

歯と歯の間にできる「ブラックトライアングル」という悩み

「歯並びは整ったのに、鏡を見ると歯と歯の間に黒い隙間ができてしまって気になる…」
そうお悩みの患者さまがいらっしゃいました。歯と歯の間にできる三角形のすき間は「ブラックトライアングル」と呼ばれ、歯が長く見えて老けた印象を与えてしまいます。

矯正後によくある患者さまのお悩み

このようなお悩みは、実は矯正治療後に多く見られます。歯並びがきれいになっても、歯ぐきが下がったことでブラックトライアングルが目立ち、「笑ったときにどうしても気になる」とご相談に来られる方は少なくありません。

ブラックトライアングルでお悩みだった方が、歯ぐきの再生治療で笑顔を取り戻したお話
ブラックトライアングルでお悩みだった方が、歯ぐきの再生治療で笑顔を取り戻したお話

歯ぐきの再生で自然なラインを回復

今回の患者さまには、歯ぐきを回復させるための「増骨矯正治療」を行いました。歯と歯の間に失われていた歯ぐきや骨の支持を補い、自然なラインを取り戻すようにアプローチしました。

治療後、気になっていた黒いすき間は改善されました。長く見えていた歯も少し短すぎるくらいに短く見えるようになりました。

ブラックトライアングルでお悩みだった方が、歯ぐきの再生治療で笑顔を取り戻したお話
ブラックトライアングルでお悩みだった方が、歯ぐきの再生治療で笑顔を取り戻したお話

 ブラックトライアングルは治療できるの?

ブラックトライアングルは、通常の矯正やホワイトニングでは改善できないケースが多いですが、歯ぐきの再生治療を組み合わせることで解決できる可能性があります。

 

適用できる治療は人によって異なります

ただし、歯ぐきの厚みや骨の状態、歯の形によって適用できる治療法は異なります。患者さま一人ひとりに合った方法を選ぶことが大切です。

 

神田ふくしま歯科の無料カウンセリング

 

「矯正したのに歯と歯の間の隙間が気になる」「ブラックトライアングルをなくしたい」と思っている方は、ぜひ一度ご相談ください。
神田ふくしま歯科では、歯ぐきの再生治療を含めた審美的なお悩みに対して 無料カウンセリング を行っています。まずはお気軽にご相談いただき、あなたに合った治療方法を一緒に考えていきましょう。


無料カウンセリングお問い合わせ

神田ふくしま歯科

0120−25−1839

03−3251−3921

東京都千代田区神田鍛冶町3−2−6F スターバックス上

JR神田駅北口(モンダミン口)より徒歩1分 東京駅の隣の駅です。

メモ: * は入力必須項目です


~増骨矯正治療の注意~

 ブラックトライアングルを見えなくする増骨治療は保険外診療となります。お写真のケースでは22万円(税込)の費用が掛かりました。

 

骨の再生治療はインプラント治療や歯周病治療などで大切な役割を果たしますが、外科的な処置であるため一定のリスクが伴います。

手術後は数日から1週間ほど腫れや痛みが出ることがあり、多くは時間とともに落ち着きますが、鎮痛薬や冷却で対応できます。処置直後に少量の出血が見られることもありますが、強いうがいや喫煙は出血を長引かせる原因となるため注意が必要です。

まれに細菌感染を起こすことがあり、その際は抗生物質の服用や追加の処置が必要になります。移植した骨補填材や膜が露出する場合や、骨が一部吸収されて十分な再生が得られないこともあります。

また、年齢や全身の健康状態、喫煙習慣、口腔清掃の状態によって効果には個人差が生じます。ごくまれには神経や隣接する歯への影響、強い腫れによる一時的な開口障害などが起こる可能性もあります。

これらのリスクはありますが、事前に十分な診査診断を行い、術後に適切な管理を続けることで多くは予防や軽減が可能ですので、不安な点があれば遠慮なくご相談ください。

 

また、骨の再生治療に人工骨や歯周組織再生材を使用する場合、厚生省の認可の取れているものが複数あります。用途に合わせて選択されるとよいでしょう。

 

No.87 インビザライン後に大きく下がった場合の歯ぐきの再生治療例

近年、マウスピースでの矯正治療が普及してきています。目立たな出歯並びを改善できるということで人気があります。

 

ただ、マウスピースでの矯正治療は、気を付けないと歯茎の問題を起こしてしまうかもしれません。

 

最近、従来の矯正治療では見かけなかったような歯茎の退縮ケースを見ることが増えています。例えば下の写真の方のように、歯の長さと同じくらい歯の根っこが露出してしまっているケースの歯茎の再生治療をすることが増えてきています。

 

可能であれば、ここまでひどい状態になる前に矯正治療を中断して、歯茎や骨の再生治療を行うことをお勧めしますが、矯正治療が終わってしまった場合は、歯茎の再生治療で対応しております。


インビザライン後に歯茎が大きく下がってしまった場合の歯茎の再生治療

歯の根っこが大きく露出してしまった状態でご来院いただきました。歯茎が粘膜部分まで下がってしまい、非常に薄い歯茎に歯が覆われています。今後さらに歯ぐきが下がってしまうことが予想されます。

 

歯茎が薄く、歯を支える骨もなくなってしまっていますので、歯茎に厚みを与えるため通常の歯茎の移植に加えてリグロスを使用することにしました。

上顎の歯茎の再生治療後、3か月待って下顎の歯茎の再生治療を行います。

上下12本の歯茎の再生治療後前歯のセラミックを交換した状態です。

 

下がってしまった歯ぐきが回復し、歯茎の厚みも増えて歯茎が下がりにくくなりました。


歯茎の再生治療の注意

 

お写真を見ていただいてわかるように歯茎が回復しております。しっかりと厚くて丈夫な歯茎が出来上がってきています。お写真では、画面上前歯の再生治療を行っております。また、合わせてオールセラミックの再治療を行なっております。

 

歯茎が下がって歯の根が露出しています。このケースのように歯茎の炎症がなく、歯と歯の間の骨が吸収していないケースに関しては、露出した歯の根っこを覆えることが報告されています。

 

歯茎の再生治療および、セラミック治療は保険外診療となります。このケースでは、歯茎の再生治療1ブロック7万7千円(税込)このケースでは、上下12本の歯茎の再生治療で30万8千円(税込)リグロス4万4千円(税込み)オールセラミック治療6万6千円(税込)かかりました。

 

 

また、歯茎の再生治療はリスクもあります。外科的な治療ですので、治療後に糸でしっかりと縫う必要があります。尖ったものが刺さってしまったりして歯茎が開くと出血してしまうリスクがあります。歯茎の再生治療は、歯周病の進行具合や感染の状況によって回復できる歯茎の位置が変わります。ご希望の位置まで歯茎が必ず回復する治療ではありません


本日のブログまとめ

最近、「目立たずに矯正できる!」という理由からマウスピース矯正がとても人気になっています。実際に、見た目を気にせず歯並びを改善できると、多くの方に喜ばれている治療法です。

 

しかし一方で、マウスピース矯正をする方が増えるにつれ、今まであまり見られなかった新しい問題も出てきました。それは、「歯茎の退縮(歯茎が下がる)」というトラブルです。

 

最近では、マウスピース矯正後に「歯茎が下がって歯の根っこが露出してしまった」というケースが増加しています。中には、歯茎が極端に退縮し、歯の根元が歯の長さと同じくらい見えてしまっている深刻な状態の方もいます。そのような患者さまが当院に相談に来られ、歯茎の再生治療を受けるケースも珍しくありません。

 

このようなトラブルを避けるためには、歯茎が著しく退縮する前に、一度矯正治療を中断して、歯茎や骨の再生治療を行うことが理想的です。歯茎が健康な状態になった後に矯正治療を再開することで、安心して美しい歯並びを手に入れることができます。

 

 

もしすでに矯正治療が終わって歯茎の問題が起こってしまった場合でも、神田ふくしま歯科では、経験豊富なドクターが丁寧に「歯茎の再生治療」を行っています。歯茎が気になったり、不安を感じたりしたら、ぜひお気軽に無料カウンセリングでご相談ください。

 

あなたの健康な歯茎と美しい笑顔のために最適な治療をご提案いたします。

無料カウンセリングお問い合わせ

神田ふくしま歯科

東京都千代田区神田鍛冶町3−2−6F スターバックス上

JR神田駅北口より徒歩1分(東京駅の隣の駅です)

0120-25-1839

03−3251−3921

メモ: * は入力必須項目です


マウスピース矯正と歯茎下がりに関するFAQ


Q1. マウスピース矯正はなぜ人気なのですか?

A. 目立たずに矯正できるのが最大の特徴です。透明なマウスピースを使うため、見た目を気にせず歯並びを改善でき、多くの方に喜ばれています。


Q2. マウスピース矯正で新しい問題が出てきたと聞きましたが?

A. はい。近年増えているのが**歯茎の退縮(歯茎が下がる)**というトラブルです。矯正後に「歯の根っこが露出してしまった」という相談が増加しています。


Q3. どのようなケースが深刻ですか?

A. 中には、歯茎が極端に下がり、歯の根元が歯の長さと同じくらい露出してしまうケースもあります。こうした場合、当院では歯茎の再生治療を受ける患者さまもいらっしゃいます。


Q4. 歯茎のトラブルを防ぐにはどうしたらいいですか?

A. 歯茎が大きく下がる前に、一度矯正治療を中断し、歯茎や骨の再生治療を先に行うことが理想です。歯茎が健康な状態に戻ってから矯正を再開すれば、安心して治療を続けられます。


Q5. すでに矯正が終わって歯茎が下がってしまった場合は?

A. その場合でもご安心ください。神田ふくしま歯科では、経験豊富なドクターが歯茎の再生治療を行っています。歯茎を健康な状態に回復させ、自然な見た目を取り戻すことが可能です。


Q6. 相談はできますか?

A. はい。歯茎が気になる方、不安を感じる方のために、無料カウンセリングを行っています。患者さま一人ひとりに合わせて最適な治療をご提案いたします。


📍 無料カウンセリング・お問い合わせ先
神田ふくしま歯科
東京都千代田区神田鍛冶町3-2-6F(スターバックス上)
JR神田駅北口より徒歩1分(東京駅の隣)
☎ 0120-25-1839 / 03-3251-3921


 

✅ マウスピース矯正中・矯正後に「歯茎が下がってきた」と感じたら、早めに相談することが大切です。
👉 健康な歯茎と美しい笑顔を守るために、ぜひ無料カウンセリングをご利用ください。

歯を抜かずに理想の歯並びへ!歯茎の下がりも解決する増骨矯正治療とは?

若いころはあまり気にしていなかったけど、最近、歯並びが気になるという30代の方が増えています。

ただ、矯正治療をしたい!とは考えているのですが、歯を抜かない矯正治療をしたいし、成人の矯正治療は歯茎が下がると聞いて、すでに歯ぐきが下がってきているのでこれ以上下がるのは不安・・・むしろ歯茎の回復だけにしようかな?

 

などとお考えの方もいらっしゃるようです。

 

そういった不安は、いろいろな矯正の歯科医院に相談されてもよい解決方法を提案されないことが多いでしょう。そういった方が当院の増骨矯正治療をご覧になって相談にお越しになられることが多いです。

 

当院では、成人矯正治療をしたい歯茎が下がってしまった方に増骨矯正治療をご提案しております。

矯正治療前 歯茎が退縮しています。

矯正治療後 歯並びと歯茎の退縮が改善しています。

 

~増骨矯正法の注意~

 

増骨矯正法は保険外診療となります。当院では、上下片側の増骨治療が11万円(税込)かかります。また、別途術後の消毒の費用が1回5千5百円(税込み)かかります。通常4回の消毒をお勧めしております。

 

増骨治療後に1~2週間ほど腫れや痛みが出る場合があります。また、感染を起こしてしまう場合もあります。感染してしまった場合は間隔を詰めて消毒にお越しいただく場合もあります。

 

 

~矯正治療の注意~

 

ご存知の方も多いと思いますが、矯正治療は保険外診療となります。当院では、モニター料金で全体的の矯正治療を行う場合、通常料金より10万円ほどお値引きさせていただいております。料金は検査代3万3千円(税込み)と矯正費用総額¥437,800-(税込み)がかかります。

 

この料金は標準的な料金となります。白いワイヤーや、拡大装置など使用する場合は、別途料金がかかります。

 

 

 

また、終了期間はおおよその目安となります。歯の動き等によって期間に個人差があります。期間の保証するものではありません。


無料カウンセリングお問い合わせ

神田ふくしま歯科

東京都千代田区神田鍛冶町3−2−6F スターバックス上

JR神田駅北口より徒歩1分(東京駅の隣の駅です)

0120-25-1839

03−3251−3921


Q: 30代になってから歯並びが気になり始めたのですが、成人でも矯正治療は可能ですか? A: はい。30代以降で歯並びが気になる方も矯正治療を受けることが可能です。

 

Q: 歯を抜かない矯正治療を希望していますが可能ですか?

A: はい。歯を抜かずに矯正治療を行う方法があります。当院では、特に歯を抜かない矯正治療に対応しています。

 

Q: 成人の矯正治療で歯茎が下がると聞きましたが、本当ですか?

A: 成人矯正治療では歯茎が下がる可能性がありますが、当院では歯茎が下がるリスクを最小限にする増骨矯正治療を行っています。

 

Q: 歯茎がすでに下がっている場合でも矯正治療は可能ですか?

A: はい。当院の増骨矯正治療では、歯茎がすでに下がっている方でも矯正治療と同時に歯茎の回復を目指すことができます。

 

神田ふくしま歯科では、成人の方でも安心して受けられる増骨矯正治療について無料カウンセリングを行っています。お気軽にご相談ください。

歯ぐきが下がっている方の矯正治療で知っていたほうが良い増骨矯正治療とは

歯ぐきが下がってしまった場合でも矯正治療と同時に歯茎を回復することができます。

歯並びが悪いのを矯正治療で治したい成人の方もたくさんいらっしゃると思います。

 

成人の方で矯正治療をする場合、歯茎が下がる問題があります。もともとはが並んでいないデコボコの部分は歯茎が薄いため、歯茎が特に下がりやすい部分です。矯正をすることで、さらに歯ぐきが下がってしまいます。

 

こういった場合、矯正治療ができないと言われて断られることもあります。

 

当院では、歯茎が下がってしまった部分の歯茎を回復させながら矯正を行う増骨矯正治療を行っております。

 

あまりご存じない方も多いのですが、30年以上前から行われている治療方法です。

 

矯正治療を歯並びの見た目も改善し、下がった歯ぐきも回復しますので、とても満足いただける治療です。

 

興味のある方は、無料カウンセリングを行っておりますので、お越しください。

治療前の下の前歯の歯茎が下がってしまった状態

下の歯の歯茎が下がってしまっています。

 

こんなケースでは、矯正治療後にさらに歯ぐきが下がってしまいますので、矯正しないという先生も多いのではないでしょうか?


増骨治療(PAOO)後の状態

治療後 歯を抜かずに矯正ができました。


~矯正治療の注意~

 

ご存知の方も多いと思いますが、矯正治療は保険外診療となります。当院では、モニター料金で全体的の矯正治療を行う場合、通常料金より10万円ほどお値引きさせていただいております。料金は検査代3万3千円(税込み)と矯正費用総額¥437,800-(税込み)がかかります。また、このケースでは、下の前歯の増骨治療を行っております。費用は¥55,000-(税込)かかりました。

 

この料金は標準的な料金となります。白いワイヤーや、拡大装置など使用する場合は、別途料金がかかります。

 

 

また、終了期間はおおよその目安となります。歯の動き等によって期間に個人差があります。期間の保証するものではありません。


本日のブログまとめ

Q: 成人でも矯正治療で歯並びを改善することは可能ですか?

A: はい、多くの成人の方が矯正治療で歯並びを改善されています。

 

Q: 成人が矯正治療を受ける場合、特に注意すべき問題はありますか?

A: 成人の場合、歯茎が下がるリスクがあります。特に歯並びがデコボコしている部分は歯茎が薄いため、矯正治療によってさらに歯茎が下がりやすくなります。

 

Q: 歯茎が薄い場合、矯正治療を断られることもありますか?

A: はい、歯茎が薄く矯正によってさらに下がるリスクが高いと判断された場合、治療を断られることもあります。

 

Q: 歯茎が下がるリスクがある場合でも、矯正治療を受けることはできますか?

A: はい。当院では、「増骨矯正治療」という方法を採用しており、歯茎が下がってしまった部分の回復を図りながら、矯正治療を行うことが可能です。

 

Q: 「増骨矯正治療」とはどのような治療法ですか?

A: 増骨矯正治療は、歯茎や骨を回復させながら歯並びを改善する方法で、実は30年以上も前から行われている治療法です。歯並びの見た目と下がった歯茎を同時に改善できるため、非常に満足度の高い治療となっています。

 

Q: 増骨矯正治療に興味がありますが、どうすれば詳しく相談できますか?

A: 神田ふくしま歯科では経験豊富なドクターが無料カウンセリングを行っています。ぜひお気軽にお越しください。

無料カウンセリングお問い合わせ

神田ふくしま歯科

東京都千代田区神田鍛冶町3−2−6F スターバックス上

JR神田駅北口より徒歩1分(東京駅の隣の駅です)

0120-25-1839

03−3251−3921

メモ: * は入力必須項目です