歯茎の再生治療と言っても何をやるのかイメージがつかないという方も多いと思いますので、あなたのお口と似たような歯茎の退縮ケースの治療例を見て参考にしていただければと思います。
下記のリンクページをクリックしてご覧ください。
また、代表的なケースはこのページにも載せております。
最近マウスピースが流行るようになって、歯茎が大きく下がってしまう方がいらっしゃいます。上のお写真の程度の歯茎の退縮でも歯茎の再生治療を行うことで歯茎を回復することが可能です。
歯茎の退縮の仕方によって処置方法が変わりますので、ご自身の状況に近い症例をご確認されると良いと思います。

治療前は歯茎が下がってしまっています。

まずは歯茎の再生治療で歯の長さを短くしました。

3か月待って歯と歯の間の隙間をダイレクトボンド法にて埋めました。
~歯茎の再生治療の注意~
歯茎の再生治療は保険外診療となります。当院では、歯茎の再生治療1~3本で7万7千円(税込)かかります。
歯茎が下がって歯の根っ子が露出しているケースのように歯茎の炎症がなく、歯と歯の間の骨が吸収していないケースに関しては、露出した歯の根っこを覆えることが報告されています。歯周病が進行したケースなど歯を支える骨の吸収したケースでは、歯茎が回復しない場合もあります。
リスク
外科的な治療ですので、治療後に糸でしっかりと縫う必要があります。尖ったものが刺さってしまったりして歯茎が開くと出血してしまうリスクがあります。
歯茎の再生治療は、歯周病の進行具合や感染の状況によって回復できる歯茎の位置が変わります。ご希望の位置まで歯茎が必ず回復する治療ではありません。
~審美歯科の注意~
ダイレクトボンド法で歯と歯の間の詰め物を詰める場合など、審美歯科に関しましては、保険外診療となります。
料金は¥33、000ー(税込)かかります。
色の種類は豊富ですので通常より歯の色を再現しやすいのですが、完全にはの色と一致するわけでありません。

治療前に全体的に歯茎が下がってしまっています。

上の前歯6本の歯茎の再生治療を行いました。
~歯茎の再生治療の注意~
お写真を見ていただいてわかるように回復した歯茎が剥がれてしまっているということはありません。しっかりと厚くて丈夫な歯茎が出来上がってきています。お写真では、上前歯6本の歯茎の再生治療を行っております。
歯茎の再生治療は保険外診療となります。歯茎の再生治療6本で15万4千円(税込み)かかります。
歯茎が下がって歯の根っ子が露出しています。このケースのように歯茎の炎症がなく、歯と歯の間の骨が吸収していないケースに関しては、露出した歯の根っこを覆えることが報告されています。
リスク
外科的な治療ですので、治療後に糸でしっかりと縫う必要があります。尖ったものが刺さってしまったりして歯茎が開くと出血してしまうリスクがあります。
歯茎の再生治療は、歯周病の進行具合や感染の状況によって回復できる歯茎の位置が変わります。ご希望の位置まで歯茎が必ず回復する治療ではありません。


~歯茎の再生治療の注意~
お写真を見ていただいてわかるように回復した歯茎が剥がれてしまっているということはありません。しっかりと厚くて丈夫な歯茎が出来上がってきています。
歯茎の再生治療は保険外診療となります。当院では、歯茎の再生治療1~3本で7万7千円(税込)かかります。
歯茎が下がって歯の根っ子が露出しています。このケースのように歯茎の炎症がなく、歯と歯の間の骨が吸収していないケースに関しては、露出した歯の根っこを覆えることが報告されています。
リスク
外科的な治療ですので、治療後に糸でしっかりと縫う必要があります。尖ったものが刺さってしまったりして歯茎が開くと出血してしまうリスクがあります。
歯茎の再生治療は、歯周病の進行具合や感染の状況によって回復できる歯茎の位置が変わります。ご希望の位置まで歯茎が必ず回復する治療ではありません。
歯茎の再生治療の注意
お写真を見ていただいてわかるように歯茎が回復しております。しっかりと厚くて丈夫な歯茎が出来上がってきています。お写真では、画面上前歯6本の再生治療を行っております。また、合わせてオールセラミック6本の再治療を行なっております。
歯茎が下がって歯の根が露出しています。このケースのように歯茎の炎症がなく、歯と歯の間の骨が吸収していないケースに関しては、露出した歯の根っこを覆えることが報告されています。
歯茎の再生治療および、セラミック治療は保険外診療となります。このケースでは、歯茎の再生治療15万4千円(税込み)オールセラミック治療6本で59万4千円(税込み)かかりました。
また、歯茎の再生治療はリスクもあります。外科的な治療ですので、治療後に糸でしっかりと縫う必要があります。尖ったものが刺さってしまったりして歯茎が開くと出血してしまうリスクがあります。歯茎の再生治療は、歯周病の進行具合や感染の状況によって回復できる歯茎の位置が変わります。ご希望の位置まで歯茎が必ず回復する治療ではありません
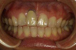
歯茎の再生治療の注意
お写真を見ていただいてわかるように歯茎が回復しております。露出してしまっていた歯の根っこを歯茎がしっかりと覆っております。セラミック治療終了後もしっかりと厚くて丈夫な歯茎が出来上がってきています。お写真では、画面上前歯3本の再生治療を行っております。また、合わせてオールセラミック3本の再治療を行なっております。
歯茎が下がって歯の根が露出しています。このケースのように歯茎の炎症がなく、歯と歯の間の骨が吸収していないケースに関しては、露出した歯の根っこを覆えることが報告されています。
歯茎の再生治療および、セラミック治療は保険外診療となります。このケースでは、歯茎の再生治療7万7千円(税込)オールセラミック治療3本で19万8千円(税込)かかります。
また、歯茎の再生治療はリスクもあります。外科的な治療ですので、治療後に糸でしっかりと縫う必要があります。尖ったものが刺さってしまったりして歯茎が開くと出血してしまうリスクがあります。歯茎の再生治療は、歯周病の進行具合や感染の状況によって回復できる歯茎の位置が変わります。ご希望の位置まで歯茎が必ず回復する治療ではありません


歯茎の再生治療の注意
お写真を見ていただいてわかるように歯茎が回復しております。しっかりと厚くて丈夫な歯茎が出来上がってきています。お写真では、画面上前歯の再生治療を行っております。また、合わせてオールセラミックの再治療を行なっております。
歯茎が下がって歯の根が露出しています。このケースのように歯茎の炎症がなく、歯と歯の間の骨が吸収していないケースに関しては、露出した歯の根っこを覆えることが報告されています。
歯茎の再生治療および、セラミック治療は保険外診療となります。このケースでは、インプラントの歯茎の再生治療11万円(税込)インプラントのアバットメント7万7千円(税込)オールセラミック治療6万6千円(税込)かかりました。
また、歯茎の再生治療はリスクもあります。外科的な治療ですので、治療後に糸でしっかりと縫う必要があります。尖ったものが刺さってしまったりして歯茎が開くと出血してしまうリスクがあります。歯茎の再生治療は、歯周病の進行具合や感染の状況によって回復できる歯茎の位置が変わります。ご希望の位置まで歯茎が必ず回復する治療ではありません




歯茎の再生治療の注意
お写真を見ていただいてわかるように歯茎が回復しております。しっかりと厚くて丈夫な歯茎が出来上がってきています。お写真では、画面上前歯6本の再生治療を行っております。また、合わせてオールセラミックブリッジ4本の治療を行なっております。
歯茎が下がって歯の根が露出しています。このケースのように歯茎の炎症がなく、歯と歯の間の骨が吸収していないケースに関しては、露出した歯の根っこを覆えることが報告されています。
歯茎の再生治療および、セラミック治療は保険外診療となります。このケースでは、歯茎の再生治療15万4千円(税込)オールセラミックブリッジ治療44万円(税込)かかりました。
また、歯茎の再生治療はリスクもあります。外科的な治療ですので、治療後に糸でしっかりと縫う必要があります。尖ったものが刺さってしまったりして歯茎が開くと出血してしまうリスクがあります。歯茎の再生治療は、歯周病の進行具合や感染の状況によって回復できる歯茎の位置が変わります。ご希望の位置まで歯茎が必ず回復する治療ではありません
無料カウンセリングお問い合わせ
神田ふくしま歯科
東京都千代田区神田鍛冶町3−2−6F スターバックス上
JR神田駅北口より徒歩1分(東京駅の隣の駅です)
0120-25-1839
03−3251−3921
