No64歯茎再生治療の未来:リグロス併用療法の効果について 治療例

歯ぐきが非常に薄い方に朗報かもしれません。

 

従来の歯茎の再生治療より歯茎の厚みが増す方法が報告されるようになってきています。

 

当院では、下がった歯ぐきを回復させる歯茎の再生治療を行っておりますが、2021年頃より歯茎の移植と合わせてリグロスというお薬を合わせて使用することもあります。報告されているように、当院で使用した臨床実感でもリグロスを使用したほうが歯茎の厚みが厚く維持されるように感じます。

 

有効と思われるケースを紹介させていただきます。


リグロスを使用した歯茎の再生治療

治療前

リグロスを併用した歯茎の再生治療
リグロスを併用した歯茎の再生治療

 

 

歯ぐきが下がって歯の長さが長くなっています。歯の根っこの部分が見えています。


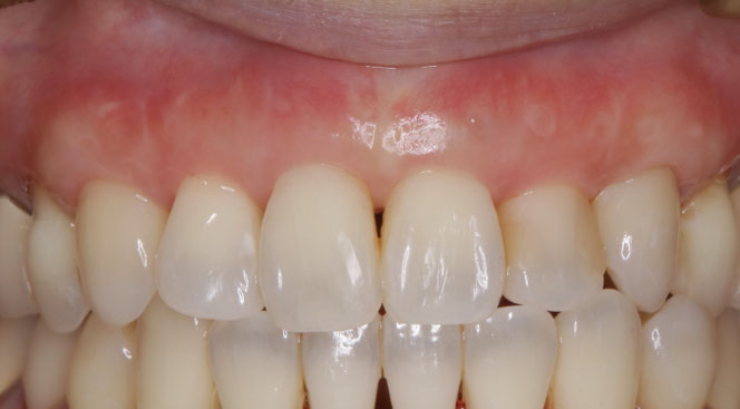
治療後

リグロスを併用した歯茎の再生治療
リグロスを併用した歯茎の再生治療

 

歯の長さが短くなりました。

リグロスを使用した歯茎の再生治療を行ったため、通常に処置をした場合より歯茎の厚みが厚くなったと感じます。

 

歯茎の再生治療のページ


~歯茎の再生治療の注意~

 

お写真を見ていただいてわかるように回復した歯茎が剥がれてしまっているということはありません。しっかりと厚くて丈夫な歯茎が出来上がってきています。

 

 

歯茎の再生治療は保険外診療となります。当院では、歯茎の再生治療1~3本で7万7千円(税込み)かかります。お写真のケースでは、上の前歯6本の歯茎の再生治療を行い、15万4千円(税込み)とリグロスの料金の¥4万4千円(税込み)の合計額がかかりました。

 

歯茎が下がって歯の根っ子が露出しています。このケースのように歯茎の炎症がなく、歯と歯の間の骨が吸収していないケースに関しては、露出した歯の根っこを覆えることが報告されています。

 

 

リスク

 

歯茎の移植を伴う外科的な治療ですので、治療後に糸でしっかりと縫う必要があります。尖ったものが刺さってしまったりして歯茎が開くと出血してしまうリスクがあります。

 

歯茎の再生治療は、歯周病の進行具合や感染の状況によって回復できる歯茎の位置が変わります。ご希望の位置まで歯茎が必ず回復する治療ではありません。

リグロスの注意

リグロスの効果

リグロスは歯周組織欠損部の未分化間葉系細胞、歯根膜由来細胞に対して増殖促進作用を示すとともに血管新生を促進します。これらの作用により増殖した細胞は骨芽細胞、セメント芽細胞へと分化し、歯槽骨、セメント質及び歯根膜の新生や結合組織性付着の再構築により歯周組織が再生されます。そのため、歯周炎による歯槽骨の欠損の治療薬として承認されています。歯茎の再生治療(結合組織移植術)でリグロスを使用することで、従来以上に移植後の歯茎の厚みが維持でき、また歯茎の再生量が増えます。

 

用法・用量

歯茎の移植時に直接歯茎に塗布します。

 

副作用・リスク

リグロスを使用すると通常の歯茎の再生治療に比べて、腫れが大きく、期間も長くなります。

主な副作用として、適用部位における歯肉白色化、歯肉紅斑、腫脹および頭痛などが報告されています。

 

費用 

 

歯茎の再生治療時に使用した場合、処置代に加えて¥44,000-(税込み)が別途かかります。


本日のブログまとめ

歯茎が非常に薄い方に向けて、歯茎の再生治療についてのポイントを3つにまとめました。

 

①最近の治療法では、従来の歯茎再生治療よりもさらに歯茎の厚みを増す方法が登場しています。

 

②神田ふくしま歯科では、2021年頃から歯茎の移植治療と併せて「リグロス」というお薬を使用することがあります。この薬を使用することで、歯茎の厚みがよりしっかりと維持されるようになったという臨床実感があります。

 

③歯茎が下がりやすい方や、特に歯茎が薄い方に対して、リグロスを用いた歯茎再生治療は非常に効果的です。

 

神田ふくしま歯科では、経験豊富なドクターが無料カウンセリングを行っています。歯茎の薄さや下がりにお悩みの方は、ぜひお気軽にご相談ください。

無料カウンセリングお問い合わせ

神田ふくしま歯科

東京都千代田区神田鍛冶町3−2−6F スターバックス上

JR神田駅北口より徒歩1分(東京駅の隣の駅です)

0120-25-1839

03−3251−3921

メモ: * は入力必須項目です