No70 進行した歯茎の退縮の場合のリグロスを併用した歯茎の再生治療 その2

歯ぐきが薄い場合には通常の歯茎の再生治療にリグロスというお薬を併用して使用したほうが良いと思える場合があります。


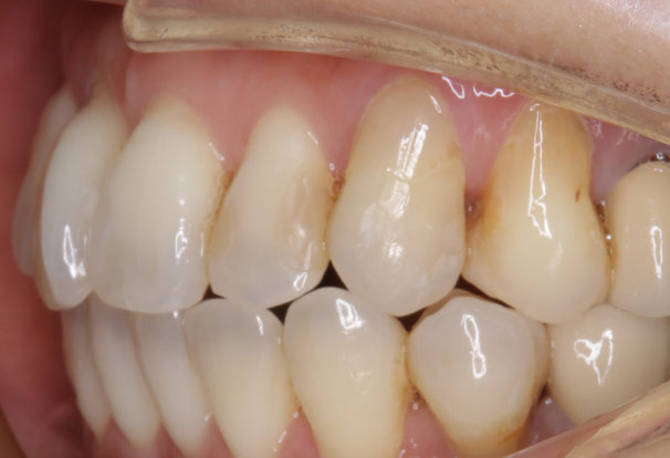
リグロスを使用した歯茎の再生治療

治療前

リグロスを併用した歯茎の再生治療
リグロスを併用した歯茎の再生治療

治療後

リグロスを併用した歯茎の再生治療
リグロスを併用した歯茎の再生治療

無料カウンセリングお問い合わせ

神田ふくしま歯科

東京都千代田区神田鍛冶町3−2−6F スターバックス上

JR神田駅北口より徒歩1分(東京駅の隣の駅です)

0120-25-1839

03−3251−3921


~歯茎の再生治療の注意~

 

お写真を見ていただいてわかるように回復した歯茎が剥がれてしまっているということはありません。しっかりと厚くて丈夫な歯茎が出来上がってきています。

 

 

歯茎の再生治療は保険外診療となります。当院では、歯茎の再生治療1~3本で7万7千円(税込み)かかります。お写真のケースでは、上の前歯6本の歯茎の再生治療を行い、15万4千円(税込み)とリグロスの料金の¥4万4千円(税込み)の合計額がかかりました。

 

歯茎が下がって歯の根っ子が露出しています。このケースのように歯茎の炎症がなく、歯と歯の間の骨が吸収していないケースに関しては、露出した歯の根っこを覆えることが報告されています。

 

 

n  歯茎の再生治療のリスクと当院での対策

歯茎の再生治療は外科的な治療ですので、治療後に糸でしっかりと縫う必要があります。尖ったものが刺さってしまったりして歯茎が開くと出血してしまうリスクがあります。また、術後に腫れや痛みが出ることがあります。そのため、当院では、出血予防止血対策にに止血用マウスピースをお渡ししております。また、術後の注意を守っていただいております。

 

歯茎の再生治療は、歯周病の進行具合や感染の状況によって回復できる歯茎の位置が変わります。ご希望の位置まで歯茎が必ず回復する治療ではありません。当院では、審美的な回復のための方法も行っておりますので併せて紹介しております。

 

リグロスの注意

リグロスの効果

リグロスは歯周組織欠損部の未分化間葉系細胞、歯根膜由来細胞に対して増殖促進作用を示すとともに血管新生を促進します。これらの作用により増殖した細胞は骨芽細胞、セメント芽細胞へと分化し、歯槽骨、セメント質及び歯根膜の新生や結合組織性付着の再構築により歯周組織が再生されます。そのため、歯周炎による歯槽骨の欠損の治療薬として承認されています。歯茎の再生治療(結合組織移植術)でリグロスを使用することで、従来以上に移植後の歯茎の厚みが維持でき、また歯茎の再生量が増えます。骨の再生治療をする場合は厚生省の認可が取れているお薬です。

 

歯茎の再生治療に称する際は、認可外の使用ということになり、保険が適応になりません。

 

用法・用量

歯茎の移植時に直接歯茎に塗布します。

 

副作用・リスク

リグロスを使用すると通常の歯茎の再生治療に比べて、腫れが大きく、期間も長くなります。

主な副作用として、適用部位における歯肉白色化、歯肉紅斑、腫脹および頭痛などが報告されています。

 

費用 

 

歯茎の再生治療時に使用した場合、処置代に加えて¥44,000-(税込み)が別途かかります。


本日のブログまとめ

歯茎が薄くてお悩みの方は、通常の歯茎の再生治療だけでは十分な効果が得られないことがあります。こういった場合には、リグロスというお薬を併用することをお勧めしています。

 

リグロスとは、歯茎や歯を支える骨の再生を促進するためのお薬で、歯茎の再生治療と同時に使用することで、歯茎の厚みや回復効果を高めることができます。

 

特に歯茎がもともと薄く、通常の再生治療では歯茎が十分に回復しにくいケースでは、このリグロスを使用することによって、歯茎の再生がスムーズになり、治療後の結果も安定します。

 

神田ふくしま歯科では、経験豊富なドクターが無料カウンセリングを行っております。歯茎が薄くてお悩みの方や、リグロスを使用した歯茎の再生治療について詳しく知りたい方は、お気軽にご相談ください。一人ひとりの状態に合わせて最適な治療プランをご提案いたします。

無料カウンセリングお問い合わせ

神田ふくしま歯科

0120−25−1839

03−3251−3921

東京都千代田区神田鍛冶町3−2−6F スターバックス上

JR神田駅北口(モンダミン口)より徒歩1分 東京駅の隣の駅です。

 

メモ: * は入力必須項目です


よくあるご質問

Q1. 歯ぐきが薄いと治療はうまくいかないことがありますか?
A1. はい。歯ぐきが薄いと、普通の歯ぐきの再生治療だけでは十分に元に戻らないことがあります。そのため、当院では「リグロス」というお薬を一緒に使うことをおすすめしています。


Q2. リグロスってどんなお薬ですか?
A2. リグロスは、歯ぐきやその下の骨が元気になるのを助けるお薬です。治療と一緒に使うと、歯ぐきが厚くなったり、回復が早くなったりします。


Q3. どんなときにリグロスを使うといいですか?
A3. 特に歯ぐきがもともと薄くて、普通の治療だけでは元に戻りにくい場合に効果的です。リグロスを使うことで、歯ぐきがスムーズに回復し、治療後の状態も安定しやすくなります。


 

Q4. 神田ふくしま歯科でリグロスを使った治療は受けられますか?
A4. はい、受けられます。当院では無料カウンセリングを行い、お口の状態に合わせて最適な治療方法をご提案します。歯ぐきが薄くて心配な方や、リグロスを使った治療について詳しく知りたい方は、お気軽にご相談ください。